インプラント治療とは?
インプラントとは、失った歯があった顎の骨に人工の歯根を植え込み、人工の歯を取り付ける治療方法です。
見た目が白くて美しく、自然な口もとに整えることができます。しっかりと顎の骨に固定されるため、自分の歯のように快適に会話や食事を楽しめます。
失った歯を補う治療方法としてはブリッジもありますが、健康なまわりの歯を削って取り付ける必要があります。また、ブリッジを残った歯で支えるため、残った歯には負担がかかります。
その点、インプラントはまわりの歯に負担をかけずに治療ができるため、健康な歯を守ることにも繫がります。
当院では歯科用CTや手術室、生体モニターなどの最新設備も完備しております。ご高齢の方や持病をお持ちの方も、安全で最適な状態でインプラント治療をお受けいただけます。

経験豊富な執刀医

高度な骨造成にも対応

CT、手術室完備

カウンセリング重視

欧米レベルの滅菌体制

治療保証あり
1
経験豊富なドクターによる
インプラント埋入治療
みはし歯科クリニックでは、インプラント治療に携わって10年以上となる、日本口腔インプラント学会専修医のベテラン歯科医師が治療を行っています。これまで1000症例以上の症例を担当しており、豊富な治療経験をもとに熟練された高度な手術をご提供しております。
2
高度な骨造成治療も可能、
骨の少ない方もあきらめないで
他院で骨の不足によりインプラントを断られた方もご相談ください。
院長はこれまでインプラント専門医院でサイナスリフト、GBR、自家骨移植等の多くの骨造成治療を執刀してきました。
また、これらの手術を行うにあたり、しっかりした術前検査とカウンセリングを行います。安心してご相談ください。
3
静脈内鎮静法を用いた安心な治療
インプラント手術では、局所麻酔以外に静脈内鎮静法も使用いたします。
局所麻酔は痛みを感じないようにすることができますが、骨を削る時にはそれでも圧迫感や不安感、緊張などを感じやすくなります。
そのため、患者さんが落ち着いて手術に臨んでいただけるように、静脈内鎮静法を併用しております。点滴で薬を入れるだけで治療への恐怖心などがほぐれて、リラックスしてふわふわとした心地よい気分となるため、穏やかにインプラント治療をお受けいただけます。
4
完全個室のオペ室完備
インプラント手術は完全個室の手術室で行っております。
また、手術日も設けておりますので、手術と並行して他の患者さんの治療を行うこともありません。落ち着いた環境で安心して手術にお臨みいただけます。
5
歴史ある老舗メーカーの
インプラントを使用
当院ではアストラテック社のインプラントを採用しております。
アストラテック社のインプラントは「世界3大インプラントの1つ」と呼ばれており、世界的に高い信頼と評価を集めております。
その特徴は、骨とインプラントの結合が早く、骨吸収が少ないことです。そのため、比較的短い期間で治癒に至ることができます。
6

滅菌対策の徹底で
安心・安全な治療環境の提供
患者さんのお口に入る器具は、世界最高水準のクラスBの滅菌器で滅菌処理をしています。
また、歯を削る際に使うタービンは繊細な構造となっており、通常の滅菌器では滅菌しきれないことがあります。そのため、当院ではタービン専用の滅菌器を導入しております。
全ての患者さんに安全な治療をご提供できるように心がけておりますので安心して治療をお受けください。
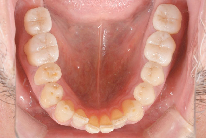
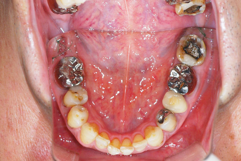
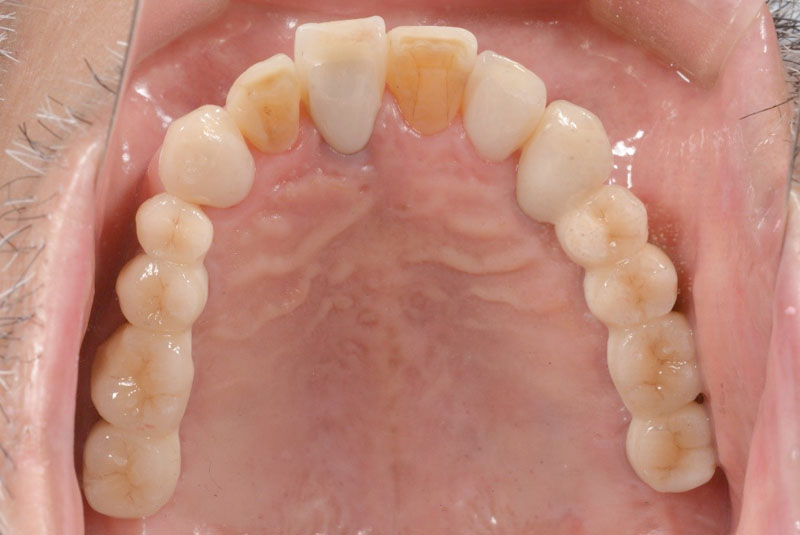
臼歯1本欠損症例
-
術前
-
術後
- 患者
- 40代女性
- 主訴
- 歯がないところに歯を作りたい。
左上に1本だけのいればをつかっていたが、両側の歯を削らないで固定式の歯を入れて噛めるようにしたいとのことでご来院された患者さんです。臼歯の1本欠損はブリッジで対応されることが多いですが、最近は両側の歯に負担をかけたくないとのことでインプラントを検討される方が増えてきました。
- 治療費
- インプラント検査 3.3万円
臼歯部インプラント手術 22万円
アバットメント 7.7万円
フルジルコニアクラウン 11万円
合計44万円
- 治療回数・期間
- 6回 6か月
- リスク
- 術後の疼痛、出血、腫脹
術後感染
インプラント脱落
インプラント周囲炎
上部構造破折
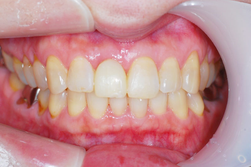
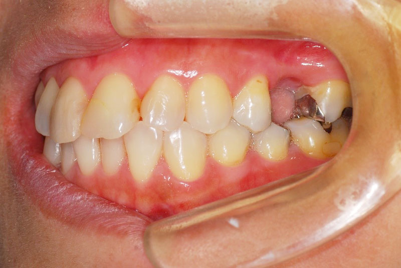
前歯のインプラント
-
術前
-
術後
- 患者
- 30代女性
- 主訴
- 他院で治療中の歯が折れて無くなった。
前医で前歯の治療を数か月していたが抜歯を勧められた。悩んでいたところ歯が折れてしまった。
- 治療経過
- 両側の歯を削りたくないのでインプラント治療を希望された患者さんです。前歯部インプラントの難易度はずばり審美性です。前歯なのでできる限り隣の歯と合わせる必要があります。特に1本欠損で両側が天然歯というのは難易度の高い症例です。この患者さんは決断が早く、歯槽骨まで感染が及んでいなかったため抜歯と同時のインプラント埋入を行うことで骨移植等を行うことなく治療可能でした。前歯は場合によっては審美性を確保するために歯肉移植が必要なことも多く、当院では歯肉移植を行うかどうかは患者さんと相談させていただいております。
- 治療費
- インプラント検査 3.3万円
前歯部インプラント手術 24.2万円
抜歯即時埋入加算 3.3万円
インプラント仮歯 1.5万円
アバットメント 7.7万円
ジルコニアレイヤリングクラウン 13.2万円
計 53.2万円
- 治療回数・期間
- 8回 9か月
- リスク
- 手術後の腫脹、出血、疼痛
術後感染
インプラント脱落
インプラント周囲炎
上部構造破折
歯肉退縮による審美障害
自由診療で保険が効かない
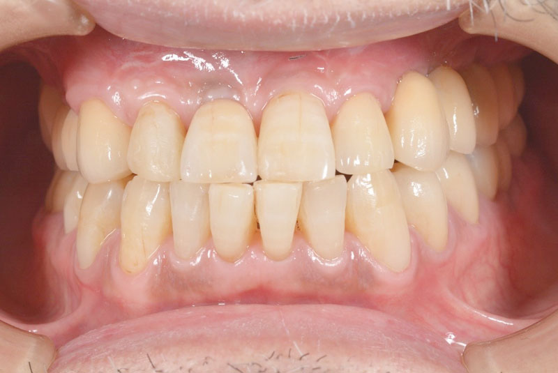
多数歯欠損のインプラント(サイナスリフト・GBR併用)
- 患者
- 50代男性
- 主訴
- インプラントができないかどうか相談。
できるだけきれいにしたい。
- 治療経過
- 前医にて上顎部分入れ歯を装着、下顎の奥歯を抜歯した状態で来院されました。また下顎の両側の臼歯の抜歯が必要と診断されたとのことでした。前医にインプラントを相談したが下顎はできるが、上顎は骨がないことを理由にインプラント不可能と診断され当院受診されました。診断の結果、下顎臼歯は保存可能、上顎臼歯部は左右上顎洞に対する骨造成(サイナスリフト)、前歯部はGBRにて骨造成を行い、インプラント埋入を行いました。
サイナスリフトはかなり専門性の高い外科処置であるため対応できる歯科医師は限られます。そのためショートインプラントや傾斜埋入で対応されることも多いですが、患者さんの年齢や希望を伺いながら当院では必要であれば積極的に行っております。その他不良補綴物の除去、根管治療、虫歯治療を行い全顎に対して審美的修復を行い治療終了までに2年を要しました。ちなみに当院では1本も抜歯は行いませんでした。保存できる歯と抜歯の必要な歯をしっかり診断することも必要です。
- 治療費
- インプラント検査 3万円
臼歯部インプラント(8本) 20万円×8
前歯部インプラント 22万円
サイナスリフト(左右) 20万円×2
GBR(前歯) 5万円
インプラント仮歯 10万円
アバットメント(9本) 7万円×9本
インプラント上部構造(フルジルコニアクラウン) 10万円×10本
インプラント上部構造(ジルコニアレイヤリングクラウン) 12万円
審美修復治療(フルジルコニアクラウン) 10万円×6本
根管治療 健康保険適応
コンポジットレジン修復 健康保険適応
計 509.3万円(税込み)
- 治療回数・期間
- 20回以上 治療期間 約2年
インプラントは自費治療です。そのため、ほかの治療法に比べて治療費は高めとなります。
それでも、違和感を感じやすい入れ歯やほかの歯を削ってつけるブリッジに比べて、インプラント治療に満足されている方はたくさんいらっしゃいます。治療内容が気がかりという方のために、インプラント治療の流れについてご説明いたします。
-
1精密診断と治療計画のご説明
まずは患者様がインプラント治療をお受けいただける状態かどうか精密検査で確認し、カウンセリングを行います。
具体的には、まずは持病の有無など全身状態について問診いたします。また、顎の骨の量・質などを調べ、インプラントを埋め込めるかどうか確認いたします。お口の中の型取りを行い、レントゲン・CT撮影を行います。
最後に、問診内容と検査データをもとに、インプラント治療が可能かどうか判断した上で、治療計画を立案いたします。
● CTを使った精密診断
インプラント治療を成功させるためには、インプラントを埋入する場所の骨の質・厚み・量、そして神経・血管の位置、埋入の角度を最初にしっかりと把握する必要があります。
そのため、歯科用CTを使って撮影を行います。
歯科用CTでは、歯や顎を含む口腔全体を3Dの立体映像で撮影することができます。骨の厚みや神経・血管の位置などもCT画像からは確認でき、インプラント治療に必要な情報を調べることができます。
CT画像から正しい情報を調べることで、神経を傷つけたり噛み合わせが悪くなるなどのトラブルを防ぐことができます。歯科用CTでの撮影と診査は、安全なインプラント治療に繫がるのです。
-
2初期治療
インプラント手術を行う前に、口腔全体のトラブルを治療し、清潔な状態にいたします。
むし歯、歯周病、その他口腔疾患がありましたら、インプラント治療の前に治療を優先します。治療が終わってから、インプラント治療に取り掛かります。
-
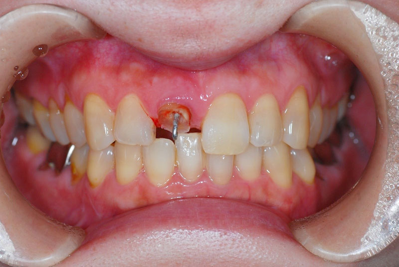
3埋入手術
局所麻酔をしてインプラント体(人工歯根)の埋め込み手術を行います。
手術の傷が治ると、インプラント体の埋入部分は歯ぐきに覆われた状態になります。人工歯根と骨が結合するまで、数ヶ月ほど時間がかかります (治療期間には個人差があり、使用するインプラント体の種類、骨の健康状態、体調によっても異なります) 。
-
4アバットメントの装着
局所麻酔を行い、インプラント体が埋まっている箇所の歯ぐきを切開します。
インプラント体の上部を覆っている新しい骨を削り、カバーを外してから、人工の歯の土台となるアバットメントを装着します。
-
5歯の型取りから「人工」歯の装着へ(2回法)
人工の歯を製作するために、お口の型取りを行います。
まずは仮歯を作り、噛み合わせを調整して、人工歯を製作いたします。その後、STEP4で切開した歯ぐきが完治したら、人工の歯をアバットメントの上に装着します。
これでインプラント手術は終了となります。
-
6定期メインテナンス
インプラントを維持していくためには、天然歯と同じように毎日しっかりとブラッシングを行うとともに、定期検診を受けることが重要です。
お手入れが不足していたためにトラブルを起こすと、インプラントを失ってしまうこともあります。時間をかけて行った治療を無駄にしないように、しっかりとメンテナンスを行い、長く快適にインプラントを使っていきましょう。
インプラント治療は、医療費控除の対象です。
インプラント治療にかかった費用は、医療費控除の対象となります。
確定申告のときに申請すると、所得総額と治療費に応じて所得税が一部戻ってきます。
医療費控除は、納税義務者本人または本人と生計を一にする親族が一年間に支払った医療費が基準額を超えた場合に対象となります。
支払った医療費 の総額 |
- |
保険金等で 補てんされた金額 |
- |
10万円または 所得金額の5%の いずれか少ない金額 |
= |
医療費控除額 (上限200万円) |